等不及出生啦!獸醫幫白鯨媽照超音波 看寶寶「一臉甜笑」游泳:泥悶好~
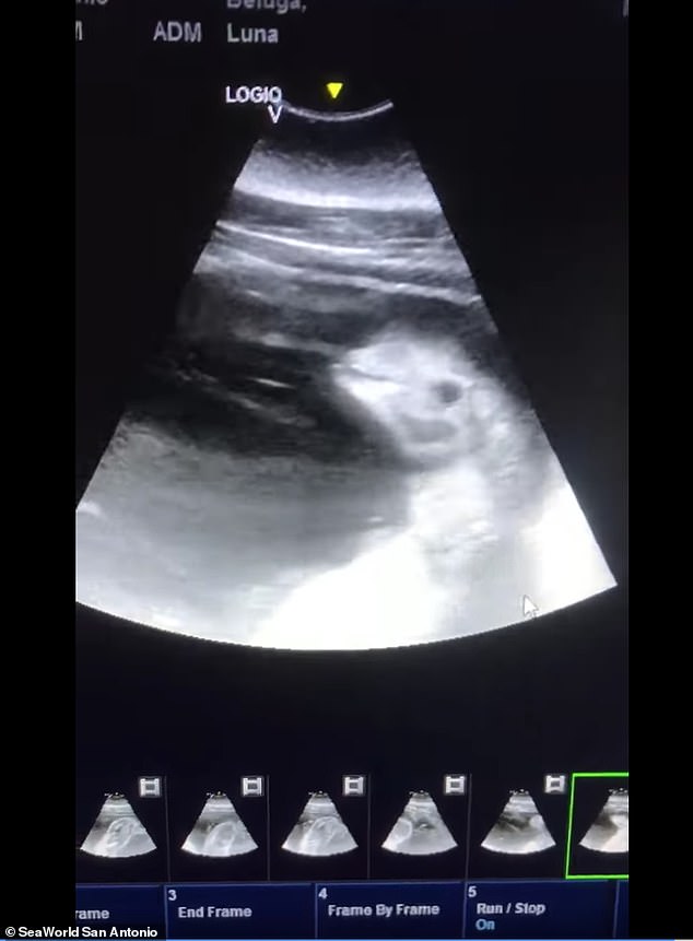
2021年01月16日一隻白鯨寶寶很快就要來到世界上啦~最近美國德州的聖安東尼奧海洋世界(SeaWorld San Antonio)發布喜訊,公園內有一隻叫Luna的白鯨媽媽,牠很快就要生產了。獸醫為Luna照了超音波,可以清晰看到小白鯨寶寶的可愛模樣。

▼Luna是於2000年在聖安東尼奧海洋世界出生的,這次懷孕牠將生下第4胎,前面的3次分娩都很順利,所以牠已經很有經驗了。Luna接受過專業的訓練,能在獸醫檢查時保持不動,所以才能拍到超音波。

▼Luna的第一胎是2016年時生的,那個寶寶是有史以來透過人工授精生下的第一批白鯨。不過那是Luna第一次當媽媽,牠拒絕撫養寶寶,於是飼育員幫牠將寶寶養大。2013年牠生下第二胎後,才開始親自養育寶寶。

▼白鯨溫和友善,純白的體色非常獨特,所以成為了最常見的人工飼養海洋哺乳類動物之一。白鯨的壽命大約在50年左右,雌白鯨成年後通常3年懷胎生產一次,妊娠期大約在14到16個月之間。白鯨寶寶一出生就能跟媽媽一起游泳,不過牠們剛出生時不是白色的,看起來反而是灰色的,等牠們長大才會慢慢變成白色。

▼從超音波可以看到,Luna肚子裡的白鯨寶寶已經發育得非常好,牠的輪廓很清晰,能看到眼睛和吻部,甚至像在微笑一樣,非常可愛:
海洋公園非常關注Luna的健康狀況,牠懷孕期間一直有做檢查。希望牠能順利生產,生下一隻健康、可愛的白鯨寶寶吧~
延伸閱讀:
來源:Daily Mail