泰3歲男童「懶惰刷牙」下場超慘 牙醫PO照:牙齒全蛀、菌跑去眼睛
2019年06月07日愛吃糖果但是不愛刷牙!泰國一名牙醫Arak Wongworachat就遇到這樣的小男孩,當他看到對方的牙齒和眼睛時,當場愣住了一下。幸好男童及時就醫,讓腫脹的眼睛可以馬上獲得治療,避免造成永遠都看不見東西!
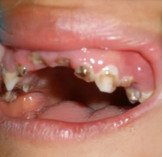
▼這名不愛刷牙的男童平時很愛吃糖果,但是家人卻又沒有太留意他的口腔衛生,導致牙齒蛀光,甚至還影響到了眼睛!

▼Arak表示這名男童沒有定時刷牙的習慣,連牙齒檢查也沒有去做。一直到發現情況異常時,他的左眼都已經腫到無法完全睜開。過後牙醫幫他照了X光,發現原來是鼻竇內有膿,必須馬上拔掉蛀牙,進行下一步治療。

▼蛀牙裡的菌跑到去眼睛或是耳朵屬於罕見狀況,但是不幸的話甚至會進入腦部組織,那時候的影響更可怕!牙醫提醒,如果牙痛在幾天後突然「無痛」,一點也不值得確幸,反而更要去看牙醫確認狀況。

▼其實兒童牙齒的護理只要做到以下3大重點就可以很放心。
1. 兒童也可以用牙線。雖然很多人都說牙線會令牙縫變大,但是這都只是謠傳而已,牙縫會變大多的主因其實是牙周或蛀牙引起的,反倒是牙籤才不應該使用。
2. 換牙期多檢查。這時候吃東西很容易就讓食物卡在牙齒之間,家長應該頻密檢查口腔清潔。
3. 半年就要檢查一次牙齒。刷牙只是做好基本護理,半年後都應該去找牙醫檢查牙齒,尤其是兒童更應該每幾個月就去檢查一次。

保持牙齒的健康非常重要,畢竟沒人會希望自己滿口都是爛牙啊!家裡有孩子的人更應該幫忙照顧孩子的牙齒健康,教育他們必須培養刷牙的習慣,不然長大會很後悔!
來源:臉書