女大生染大面積肺炎 醫生找出原因:吹喇叭沒洗乾淨
2018年07月13日吹奏樂器其實暗藏風險,日前台中一位音樂系女大生感染肺炎,不斷發燒、咳嗽,最後才找出源頭是她吹奏的小喇叭。原來女大生吹完喇叭後沒有徹底清潔,才會吸入吹嘴上的黴菌。
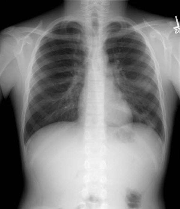
▼22歲的黃姓女大生修習音樂系,過去吹奏喇叭也曾出現輕微咳嗽症狀,她則會休息幾天再吹。這次卻反覆發燒、咳嗽,4月份就醫時,才由X光照出胸腔有大面積的肺炎。(示意圖)

▼醫生為了徹查肺炎原因,便請黃姓女大生家人檢查她的小喇叭,發現吹嘴部分有黴菌殘留,判斷是黃姓女大生吹奏時把黴菌吸入肺部,引發過敏性肺炎。在透過類固醇治療後,女大生7天內就康復返家。

▼醫生解釋說,吹奏樂器的吹嘴上容易殘留口水,如果沒有仔細清洗,就容易滋生黴菌,吸入後引發呼吸道過敏、發燒、咳嗽等症狀,若是延誤就醫,還有可能發展成更嚴重的黴菌性肺炎,最糟糕的情況會危及性命。

▼資深樂器老師張堯建議,吹奏樂器內部容易累積口水,所以他定期會拆卸整把喇叭,利用樂器通條沾沙拉脫清洗,再放置晾乾,避免黴菌滋生問題。醫生也建議吹奏者吹完後,除了用清水洗滌,也可以再加上酒精消毒,這樣才能確保乾淨。

尤其一般人吹奏樂器吹到一段時間就會停下,所以很難聯想到會引起肺炎。遇到相關的狀況時,一定要徹底做好清潔啊!
來源:蘋果日報